2026.04.02
歯周病で歯がぐらつくのはどうして?放置のリスクと治療法も
こんにちは。大阪市中央区南本町「堺筋本町駅」1号出入口より徒歩1分にある歯医者「ヤマシタデンタルクリニック」です。

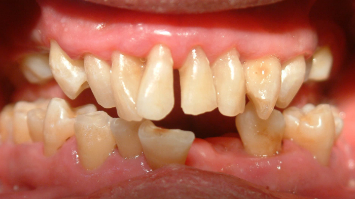
歯周病とは、歯を支える歯ぐきやあごの骨に炎症が起こる病気です。歯周病が進行すると歯を支える骨が徐々に溶けていき、最終的には歯がぐらついて抜け落ちることもあります。
この記事では、歯周病で歯がぐらつく原因や放置するリスク、治療法などについて解説します。
歯周病で歯がぐらつくのはどうして?

歯がぐらつく原因は、歯周病によって歯を支える組織が破壊されることにあります。ここでは、歯がぐらつく仕組みについて詳しく解説します。
歯周病による骨の吸収
歯周病が進行すると、歯ぐきだけでなく歯を支える骨(歯槽骨)にも影響が及びます。歯槽骨は歯がしっかりと固定されるために不可欠な組織ですが、歯周病による炎症が進行すると顎の骨が溶かされて吸収されてしまいます。
その結果、歯を支える力が弱くなり、歯が揺れやすくなるのです。骨の吸収が一度起こると、自然に元の状態には戻らない可能性が高いです。
特に、中等度から重度の歯周病になると、歯槽骨の吸収が大きくなり、歯ぐきも下がって歯が長く見えるようになります。見た目の変化だけでなく、噛む力が低下するなど日常生活に支障をきたすことがあります。歯ぐきの腫れや出血だけでなく、歯の動きを感じるようになった場合は、骨の状態が大きく関係しているといえます。
歯根膜の破壊
歯根膜は、歯と歯槽骨の間に存在する薄い組織で、歯に加わる圧力をやわらげたり歯を安定させたりする役割を担っています。しかし、歯周病が進行すると、この歯根膜が炎症によって破壊されてしまいます。
歯根膜が破壊されると歯と骨のつながりが弱くなり、歯の固定力が低下することで歯がぐらつくようになるのです。また、歯根膜が失われることで炎症がさらに進みやすくなり、結果として歯の脱落のリスクも高まります。
歯周病が原因で歯がぐらつく状態を放置するリスク

歯周病による歯のぐらつきを放置すると、全身の健康にまで悪影響を及ぼす可能性があります。ここでは、放置することで生じる主なリスクについて詳しく見ていきましょう。
歯の喪失
歯周病によって歯を支える骨が破壊されると、歯のぐらつきが進行して最終的には歯が抜け落ちることがあります。一度失われた骨は自然には元に戻らないため、治療が遅れると元の健康な状態に戻すことは困難です。
歯を支える骨が不安定になると噛む力にも影響が出て、食べ物をしっかりと噛めなくなることもあります。さらに、歯が抜けた状態が続くと、周囲の歯が移動して歯並びが乱れる原因になります。早期に治療を行うことで歯の喪失を防げば、こういった影響も最小限に抑えられます。
噛み合わせの悪化・発音への影響
ぐらつきがある歯は、噛み合わせに影響を与える原因になります。歯がしっかりと固定されていないことで、上下の歯が正しく当たらず噛み合わせのバランスが崩れると、顎の関節にも負担がかかります。
また、前歯にぐらつきがある場合には、発音にも影響が出ることがあります。特にサ行やタ行など、舌先が歯に触れる音が不明瞭になりやすく、会話に支障が出ることもあります。
他の歯への波及
歯周病は、ぐらついている歯1本だけの問題にとどまりません。進行すると隣接する歯の歯ぐきにも炎症が広がり、次第に他の歯にもぐらつきが生じることがあります。また、噛み合わせのバランスが崩れることで、健康な歯にも過剰な負担がかかりやすくなります。
こうした影響が連鎖的に起こると、最終的には口全体の機能が損なわれて食事や会話にも支障が出る恐れがあります。1本の歯の異常が他の歯へ波及する前に、治療を行うことが大切です。
口臭や見た目の悪化
歯周病が進行すると、口の中で細菌が増えて特有の強いにおいを発するようになります。これによって口臭がひどくなり、人と話すときに気づかれることもあります。
また、ぐらついた歯がずれてきたり、歯ぐきが下がって歯が長く見えたりと、見た目にも変化が出てくることがあります。
全身疾患につながる可能性がある
歯周病は単なるお口のトラブルにとどまらず、体全体に影響を及ぼすことがわかっています。歯ぐきの炎症によって発生した細菌や炎症物質が血液を通じて全身に広がると、糖尿病や心筋梗塞、脳梗塞、誤嚥性肺炎などのリスクが高まるとされています。
とくに高齢者や持病を抱える人にとっては、歯周病を軽視することが命に関わる問題につながる可能性もあるのです。
歯周病が原因で歯がぐらつくときに行われる治療

歯周病によって歯がぐらつく状態になった場合でも、適切な治療を行えば歯の保存が可能なことがあります。ここでは、状態に応じて選択される主な治療方法についてご紹介します。
歯周基本治療
歯周病治療の第一歩として行われるのが、歯周基本治療です。歯ぐきの炎症を抑え、原因となるプラークや歯石を徹底的に取り除くための処置で、歯周病の進行を止めるうえで欠かせません。
主な内容としては、歯の表面や歯ぐきの中に入り込んだ歯石を除去するスケーリング、歯の根の表面を滑らかに整えるルートプレーニングがあります。これらの処置により、細菌の温床となる部分を減らして歯ぐきの炎症を抑えることができます。
また、喫煙や生活習慣など、歯周病を悪化させる要因がある場合は、それらを見直すことも治療の一環として行われます。基本治療を継続して行うことで歯ぐきの状態が改善されれば、ぐらつきも軽減されるケースもあります。
歯周外科治療
歯周病が進行し、歯周ポケットが深くなっている場合には、歯ぐきを開いて奥に入り込んだ歯石や感染組織を直接取り除く歯周外科治療が行われます。代表的なのはフラップ手術で、ポケットの奥まで丁寧に清掃することで歯周組織の改善を図ります。
この処置により再び歯ぐきが引き締まり、歯のぐらつきが軽減されることもあります。
抜歯・補綴治療
歯周病が進行し、歯を支える骨が大きく失われている場合には、やむを得ず抜歯を選択することもあります。無理に歯を残すと、周囲の健康な歯にも悪影響を及ぼす可能性があるためです。
また、抜歯後は、入れ歯、ブリッジ、インプラントなどの補綴治療で、機能と見た目の回復を図ります。歯を失ったまま放置すると、歯並びが乱れたり顎関節に負担がかかったりするため、適切に治療を受ける必要があります。
メンテナンス
治療によって症状が改善した後も、歯周病を再発させないためには継続的なメンテナンスが欠かせません。歯科医院では、定期的に歯や歯ぐきの状態をチェックし、必要に応じてクリーニングやブラッシングの指導を行います。
あわせて、正しいセルフケアの習慣を身につけることも重要です。歯科医院でのケアは歯周病を改善するために欠かせませんが、日々のケアが不十分だと治療の効果が十分に出ません。
また、自覚症状がなくても歯周病は進行していきます。放置すればどんどん状態が悪化していくため、定期的なメンテナンスが歯の健康を守るために重要です。
まとめ

歯がぐらつくという症状は、進行した歯周病によるものである場合が多いです。歯を支える骨や組織が破壊されることで歯が不安定になり、放置すると歯の喪失や噛み合わせの乱れ、全身の健康にも影響を及ぼす可能性があります。
しかし、初期の段階で気づき適切な治療を受ければ、歯を守ることも十分可能です。大切なのは、異変に気づいた時点で歯科医院を受診し、専門的な治療と日常的なケアを行うことです。歯のぐらつきを放置せず、早めの対処を心がけましょう。
歯周病の治療を検討されている方は、大阪市中央区南本町「堺筋本町駅」1号出入口より徒歩1分にある歯医者「ヤマシタデンタルクリニック」にお気軽にご相談ください。
当院は、「歯の健康に出会う歯医者」として安心・安全を心がけて診療にあたっています。虫歯・歯周病治療だけでなく、矯正治療やインプラント、予防歯科にも力を入れています。診療案内ページはこちら、予約フォームもございますので、ぜひご覧ください。